LRS bei Atlas- Formvariante
Bei diesem 10jährigen Mädchen fand sich eine Kombination funktioneller und anatomischer Auffälligkeiten.
L.V. (♀, geb. 04/2000) bei Erstvorstellung hier 02/2011, 5. Klasse
Grund der Vorstellung: L. hat massive LRS, zuletzt als Legasthenie diagnostiziert durch Lerntherapeuten, bei dem Lerntherapie ansteht. Bei ausgiebiger Testung waren dem Therapeuten u.a. bei den Wippversuchen, aber auch beim Drehversuch auf dem Karussell sowie bei der Koordinationsprüfung deutliche Defizite aufgefallen, ausserdem persisitierende Moro/ATNR.
Die vaginale, termingerechte Geburt war lt. Angaben der Eltern etwas protrahiert, ohne Hilfsmittel, kein Kristellern. Ausser ‚3-Monatskoliken‘ keine Auffälligkeiten im Babyalter, bei dezidierter Nachfrage berichten Eltern unisono, sie sei im Vergleich zu den Geschwistern motorisch in jeder Hinsicht langsamer gewesen, immer ein ’sehr genügsames‘ Baby gewesen.
Mitgebrachte Fotos aus der Babyzeit zeigen eine tendenzielle Linkskonvexität.
Der Vater berichtet, dass ihm jetzt bei Radtouren aufgefallen sei, dass L. deutliche Gleichgewichtsprobleme habe und z.B. beim Schlagenlinienfahren extrem schwer in den Rhythmus fände.
Sozial gut, keine Nacken-/Kopfschmerzen, Sport: Reiten, Tennis und Ballett.
Befund: Hochgewachsenes, schlankes Mädchen, linkes Auge kleiner als das rechte, keine orofaziale Hypotonie, kein Fehlbiß; inspektorisch Schultern gleich hoch bei linksseitigem Beckentiefstand. In der Vorneige kein deutlicher Überhang, keine seitendifferente Muskulatur.
Neurologisch/radikulär unauffällig; AHV gut, Hampelmann wird problemlos geprungen; Einbeinstand /-hüpfen ohne wes. Seitendiff. gut; LWS mit kleinem kompensatorischen Gegenschwung bei linksseitigem Beckentiefstand, ansonsten unauffällige LWS und BWS.
HWS: linksseitig deutl. schmerzhafter AQF und vermehrte Druckempfindlichkeit/Anspannung der nuchalen Ansätze links, Links-Rotation in max. HWS-Flexion endgradig eingesschränkt, ebenso die Linksseitneige im Seitvergleich.
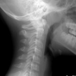
Rö:
– Steilgestellte HWS,
– Bogenschlußstörung C1 bei Hypoplasie des arcus dorsalis
– C2 in kyphotischer Stellung, Dens schief
Diese Konfiguration (sog. Dens recurvatus) ist ein Anteflexionshemmnis. Hier – noch mehr als ohnehin – ist ein Schrägpult für die Hausaufgaben anzuraten.
In diesem Alter kann man getrost davon ausgehen, dass sich das noch anpaßt, nachdem jetzt die Blockierung gelöst wurde und die Kopfgelenke sich wieder frei bewegen können. Man wird hier in 2-3 Jahren eine Kontrollaufnahme machen und dann wohl einen weniger gekippten Gelenkspalt C1/C2 antreffen.
Diagnose:
Dysgnosie bei Kopfgelenkblockierung, Bogenschlußstörung C1
Therapie: C2 von links (HIO-Technik); C1 sag


Falls die Patienten noch einmal vorstellig werden sollte:
Die vordergründigste Funktionstörung auf diesen Röntgenbildern ist eine Posteriorität (höchstwahrscheinlich mit begleitender Rotation) im Segment C5.
Dies ist absolut klassisch für eine Military Curve der HWS. Erfolgt hier keine Korrektur ist eine Normalisierung der HWS-Lordose sehr unwahrscheinlich.
Darüberhinaus hat besonders die Subluxation von C5 enorme neurologische Bedeutung, seit wir durch jüngere Forschung wissen, dass es im Bereich von C5 meningeale Anhaftungspunkte gibt (wogegen man bislang lediglich von Anhaftungen im Bereich C0 bis C2 sowie Sacrum und Steißbein (Filum Terminale) ausgegangen war).
Dies bedeutet, dass eine Subluxation von C5 wie hier zu sehen zu direktem Stress des ZNS über Zug an der meningealen Anhaftung führen kann.
Darüberhinaus tritt die Subluxation von C5 häufig zusammen mit einer Subluxation von C1 auf. Diese Kombination führt oft zu erheblichen Symptomen und besonders bei Kindern zu kognitiven und motorischen Defiziten. Allerdings kommt es bei C1 hier oftmals zu einem sogenannten Blair Listing, das heißt einer Verlagerung des posteriorem Arcus C1 in posteriorer und diagonaler Richtung, nicht um eine rein laterale Subluxation. Dies würde auch gut zu der kompensatorischen Verformung des Dens Axis passen.
Beides zeigt die Begrenzung klassischer HIO Vorgehensweise auf. Ein Blair Listing wird durch Adjustierung mit rein lateralem Vektor nicht korrigiert. Lediglich die Kopfgelenke zu korrigieren führt nicht zu einer Klärung der Problematik bei C5 und somit meist auch nicht zu einer Rückkehr der physiologischen HWS-Lordose.
Dies ganz abgesehen von all den weiteren Funktionsstörungen, die eine solche Kombination von C1 und C5 im restlichen Bewegungsapparat auslösen. Der Körper ist zwar oftmals in der Lage Kompensationen selbst aufzulösen, dies aber auch nicht immer und bei primären Subluxationen überhaupt nicht.
So großartige Erfolge eine gut ausgeführten Upper Cervival Technik auch haben kann, so ignoriert die reine Komzentration auf die obere HWS doch viele der eigentlich ursächlichen Probleme (z.B. ein PI Ex Ilium als Ursache für eine kompensatorische C1 Subluxation). Die Gründung der HIO Technik durch BJ Palmer geschah in erster Linie aufgrund eines anatomischen Missverständnisses Palmers und aufgrund von Wettbewerbskalkül der damaligen Zeit.
Es ist meiner Eerfahrung nach überaus wichtig den Organismus des Patienten als eine einzige Funktionseinheit zu sehen, und sich nicht übweigend auf einen Teil zu beschränken, will man dem Patienten zu vollkommener gesunder Funktion verhelfen.
Ansonsten meinen Glückwunsch zu einer unerwartet interessanten und informativen Webseite!
Beste Grüße!
Kai Haselmeyer
Göttingen
Chiropractor